Litigation Guides
Motor vehicle accidents can cause a range of brain injuries, from obvious to insidious, including tears in the long cables of nerve cells connecting different regions of the brain, intracranial bleeding, and long-term psychiatric changes. While the causes of moderate to severe traumatic brain injuries (TBIs) are well-understood, mild TBIs (mTBIs), also known as concussions, are less well-understood.1
Written By
Wendy Ketner, M.D.
Medically Reviewed
The annual incidence of mTBIs is estimated to be 600 per 100,000 people. A Traumatic Brain Injury (TBI) is defined as an alteration in brain function or other evidence of brain damage caused by an external force, such as:2
Alterations in brain function include:2
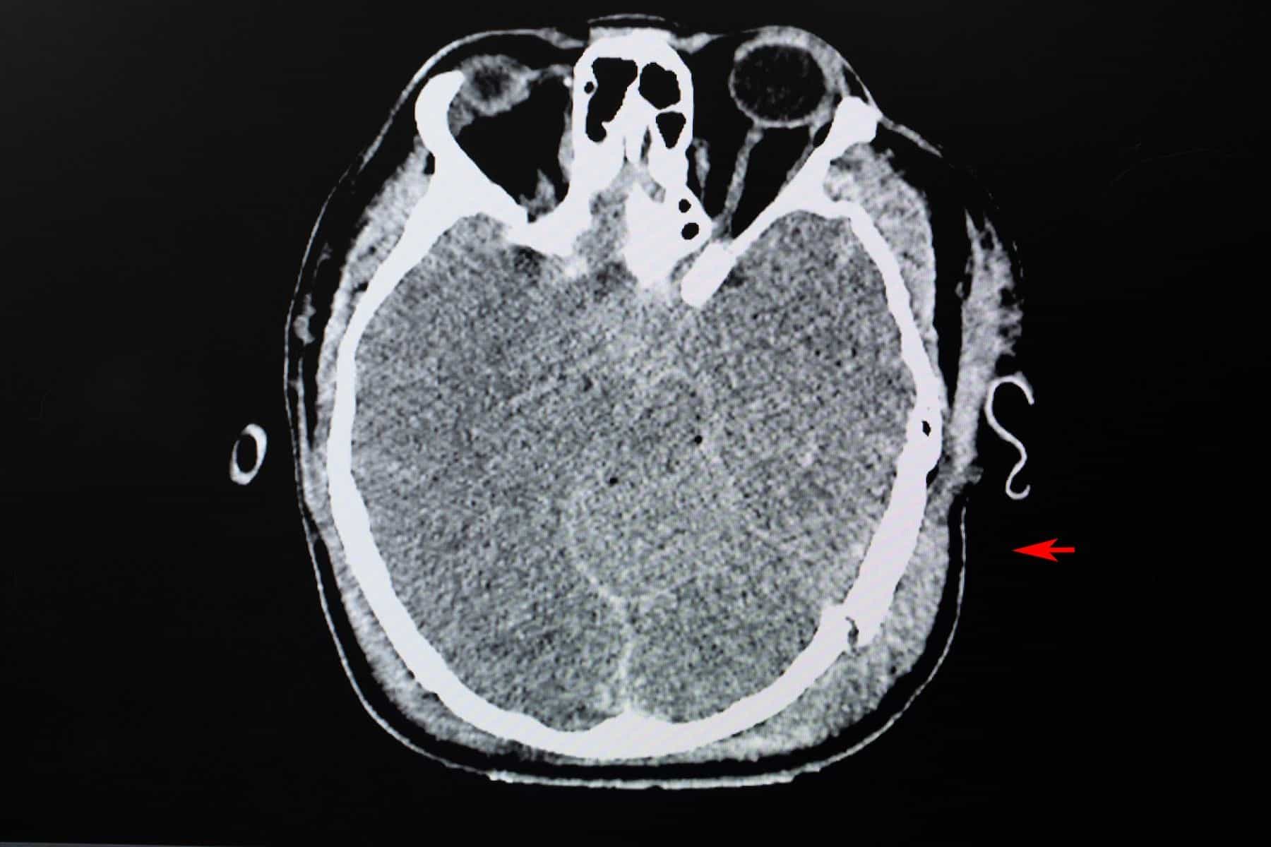
Different testing modalities, including the Glasgow Coma Scale (GCS) score, imaging, and clinical biomarkers, have been used to help diagnose moderate and severe TBIs. Computed tomography (CT) or magnetic resonance imaging (MRI) are the mainstays for assessing soft tissue damage to the brain such as:3

Skull fractures resulting from TBIs are generally assessed using CT scans of the head and include:3
Because the brain has such a vast spectrum of responsibilities, the long-term sequelae of TBI can be broad-reaching. Some major issues facing those who have suffered from TBI are:4
While a general classification of TBI severity is usually correlated with prognosis, it is better to assess the potential long-term neurological outcome by examining each sign and symptom individually. Specific diagnostic features have a greater impact on future neurological consequences. These features can include:5
Over 90% of TBI cases are classified as mild. Mild TBI (mTBI) is frequently viewed as transient and benign, with expectations of quick symptom resolution within days. However, this oversimplifies the complexity of mTBI, and the following points are important to remember:6
Association between TBI, including mild TBI, and long-term mental health, cognitive, and physical symptoms.
1.
Morin M, Langevin P, Fait P. Cervical Spine Involvement in Mild Traumatic Brain Injury: A Review. Journal of Sports Medicine. Published online 2016:1-20. URL
2.
Menon DK, Schwab K, Wright DW, Maas AI. Position Statement: Definition of Traumatic Brain Injury. Archives of Physical Medicine and Rehabilitation. 2010;91(11):1637-1640. URL
3.
Pervez M, Kitagawa RS, Chang TR. Definition of Traumatic Brain Injury, Neurosurgery, Trauma Orthopedics, Neuroimaging, Psychology, and Psychiatry in Mild Traumatic Brain Injury. Neuroimaging Clinics of North America. 2018;28(1):1-13. URL
4.
Trevena L, Cameron I. Traumatic brain injury - long term care of patients in general practice. Australian Family Physician. 2011;40(12):956-961. Accessed October 3, 2023. URL
5.
Baxendale S, Heaney D, Rugg-Gunn F, Friedland D. Neuropsychological outcomes following traumatic brain injury. Practical Neurology. 2019;19(6):476-482. URL
6.
Jenkins PO. Persistent symptoms after a mild traumatic brain injury: assessment and management. Medicine. 2023;51(8):581-585. URL
About the author
Join our newsletter to stay up to date on legal news, insights and product updates from Expert Institute.
We're here to help you build a stronger case. Retain a leading expert witness today.
Need your medical records reviewed? Consult one of our 75+ on-staff physicians who can help evaluate the strengths and weaknesses of your case.
Need your medical records reviewed? Consult one of our 75+ on-staff physicians who can help evaluate the strengths and weaknesses of your case.